ミラクルデンチャーの症例一覧
ミラクルデンチャー症例125(50代 女性)

ミラクルデンチャー症例125(50代 女性) ご来院のきっかけ こちらの患者様は、当院が運営する女性専門の入れ歯サイトをご覧になり、「一度相談だけでもしてみよう」と思われたことがきっかけでご来院されました。 これまで使用 […]
ミラクルデンチャー症例124(50代 女性)

ミラクルデンチャー症例124(50代 女性) ご来院のきっかけ こちらの患者様は、当院が監修している女性のための入れ歯情報サイトをご覧になり、ご相談に来院されました。 「インプラント以外の選択肢も含めて、しっかり話を聞い […]
ミラクルデンチャー症例123(60代 女性)

ミラクルデンチャー症例123(60代 女性) 入れ歯治療の解説 こちらの方は、当院が運営する「入れ歯相談サイト」をご覧になり、無料相談を通じて来院されました。右上の欠損部分をどの治療法で補うべきか検討されており、インプラ […]
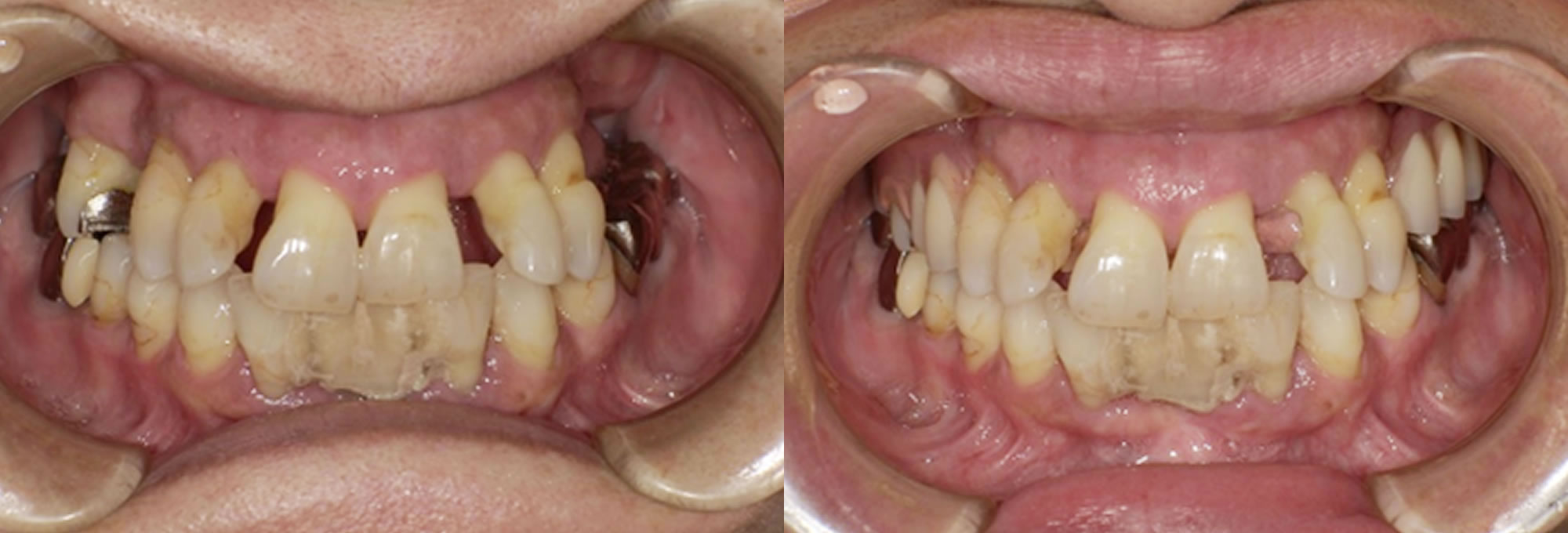
ミラクルデンチャー症例122(60代 女性)

ミラクルデンチャー症例122(60代 女性) 入れ歯治療の解説 こちらの患者様は、インターネットで「入れ歯専門歯科医院」と検索された際に当院を見つけられました。初めての来院時には無料相談をご利用になり、治療方針や歯が悪く […]
ミラクルデンチャー症例121(40代 女性)

ミラクルデンチャー症例121(40代 女性) 入れ歯治療の解説 こちらの患者さんは、当院のホームページに多くの症例が掲載されていることを見て、「ここなら安心できる」と感じて来院を決意されました。また、1日1組限定の無料相 […]
ミラクルデンチャー症例120(50代 女性)

ミラクルデンチャー症例120(50代 女性) 入れ歯治療の解説 こちらの患者さんは、当院が監修する「女性向け」入れ歯情報サイトをご覧になり、「無料相談をしていただけること」が決め手となって勇気を出してお電話され、来院され […]
ミラクルデンチャー症例119(40代 女性)

ミラクルデンチャー症例119(40代 女性) 入れ歯治療の解説 こちらの方は、当院が監修する女性のための入れ歯専門サイトをご覧になり、無料相談に来院されました。入れ歯に対する不安や疑問をお持ちであったため、まずはじっくり […]
ミラクルデンチャー症例118(60代 女性)

ミラクルデンチャー症例118(60代 女性) 入れ歯治療の解説 こちらの方は、よしはら歯科クリニックが運営する、女性のための入れ歯サイトをご覧になり、無料相談を利用され来院されました。これまでにいくつかの歯医者さんを探さ […]
ミラクルデンチャー症例117(60代 女性)

ミラクルデンチャー症例117(60代 女性) 入れ歯治療の解説 こちらの方は60代の女性患者様です。よしはら歯科の監修する女性の入れ歯サイトをご覧になり、昼休みの無料相談で来院されました。 相談では、コンフォートデンチャ […]
ミラクルデンチャー症例116(60代 女性)

ミラクルデンチャー症例116(60代 女性) 入れ歯治療の解説 今回ご紹介するのは、60代の女性患者様です。よしはら歯科の監修する女性の入れ歯サイトをご覧になり、昼休みの無料相談を利用されました。当院では、初めての方に対 […]



